装置装着!!
医療法人幸美会なかむら歯科クリニック 歯科衛生士 吉田 すみれ
こんにちは!先月矯正を始めた吉田です。
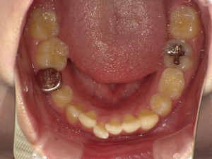
今月の矯正日ではついに装置を付けました! 入れて少しすると痛みがでてきましたが、
痛みどめを飲んだらだいぶ落ち着いてきました。
口蓋にぴったりレジンでできた板食い込んでいたかったのですが2,3日で慣れていきました。
口蓋の痛みよりも歯の移動に伴う痛みのほうがすごかったです。
3週間ぐらいたった今では慣れてきて痛みは感じなくなりましたが、最初は涙が出そうになるくらいでした
そして、装置入れてしばらくたってから、歯の数を上と下とをそろえるために、今回上の永久歯を左右一本づつ抜きました!
下の歯も抜くことになっていますがいつ抜くかは指示待ちです。
今回の写真では装置入れたときのみの写真になっていますが、来月の写真ではちゃんと
上が歯抜け状態になっていますので、比べてみてください!
装置入れたことで奥歯が磨きにくくなりましたが、汚れがたまらないように毎日念入りに磨いてます♪
医療法人幸美会なかむら歯科クリニック 歯科衛生士 吉田 すみれ






