あともう少し!(片)
お久しぶりです!
結婚しまして渡邉から片山に変わったのでタイトルも(片)に変えました(*^_^*)
さて、先月も矯正の治療に行きまして、前回とはまた大きく変わりました!
【before:H29.4.15】
【After:H29.6.6】
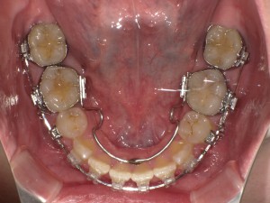
まず装置に関してですが、上下とも裏側についていた装置が取れました!
下は前歯の根元あたりにかぶっていてとても磨きづらかったのですが、取ってからすっきりおもいっきり磨けるようになりました!
ここはよく歯石がたまりやすいところなので引き続き意識して磨いていきます\(^o^)/
上は食べ物を飲み込むときにひっかかる奥側の装置がまだ残っているので細いものは不便ですが、
舌が当たる感覚が少なくなったので快適です!
上の歯の前から3番目と4番目の歯の間の隙間も少なくなってきました!
歯まるまる1本分の隙間がなくなるぐらい歯が動くのは改めてすごいなと思いました(^.^)
私が一番気にしていた上下顎前突(上の歯下の歯ともに前に出ていること)もだいぶ改善してきました\(^o^)/
いままで「いーっ」としたときに歯が唇よりも前に出ていたのですが、今はほぼ唇の中におさまるようになりました!
鼻の先から顎を結んだEラインの中におさまってきたことで
みんなに「顔変わったね」と言われるのがとても嬉しく励みになります(*^_^*)
正面から見た状態もパッと見でわかるぐらい変わりました。
矯正を始めてから1年半、ここまできました!あともうひといき!!
今日もまた矯正の治療に行く予定なので、次はどんな変化があるか楽しみです!
ではまたいつかお会いしましょう。
DH 片山萌









