いよいよゴールが見えてきた!?(片)
こんにちは!片山です。
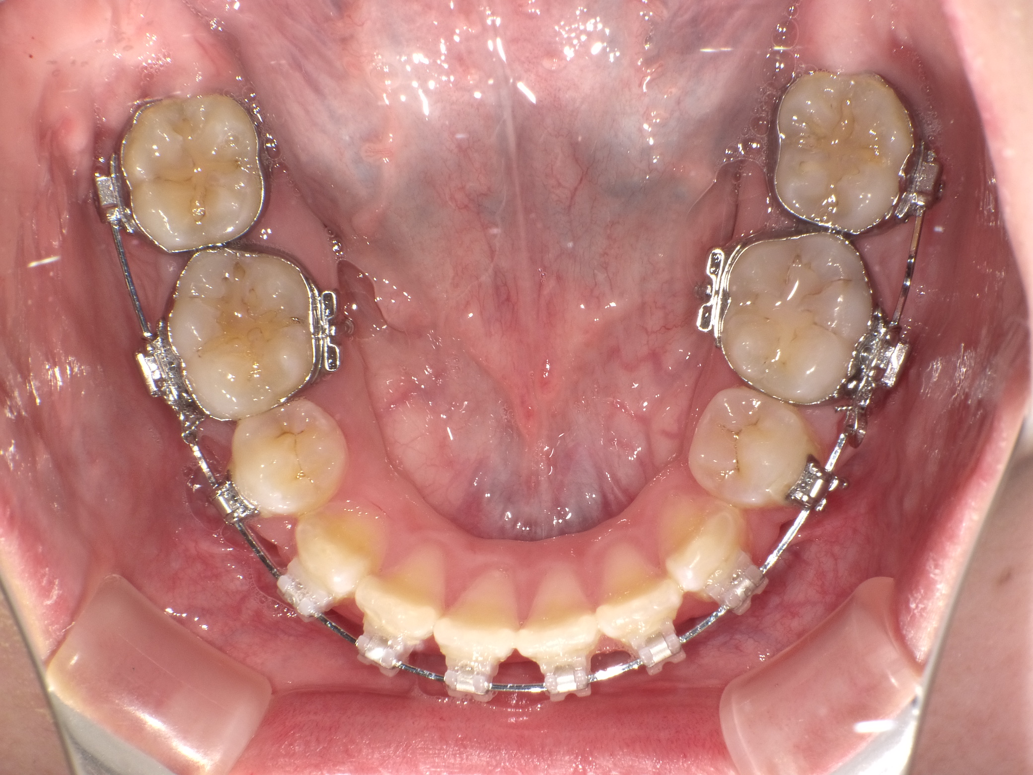
今日矯正に行ってきたので今日の写真をアップします!
上の前から3番目と4番目の間の隙間がほぼ閉じました!
もともとこの間に歯があったなんて信じられないぐらいです。
いろいろな装置やワイヤーが簡略化してきたので、
矯正中の私が苦手としていたラーメン、素麺、焼きそばをほぼ完璧に食べられるようになりました!
これでもうなんでもどんとこい!です。
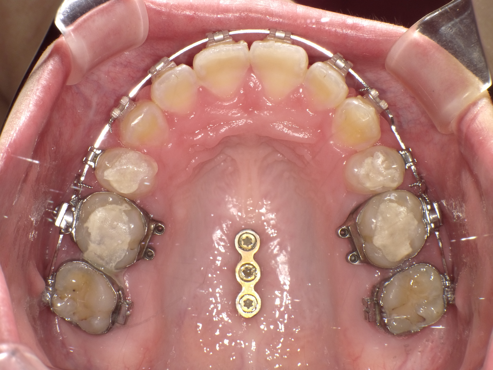
上下のかみ合わせの高さを調整するために上の歯の前から4番目と5番目のかみ合わせ部分にセメントを埋めていますが、
全体のかみ合わせが落ち着いてきたので、次回このセメントを外すそうです!
またかみ合わせの溝が復活するので気を付けて磨こうと思います。
さて、私事ですがこのたび母になることになりました。
妊娠中の患者様達が歯磨きに苦しんでいてとても大変そうでしたが、
いざ自分がその立場になってみると、意外と歯磨きは難しくなかったのが幸いでした。
逆に歯磨きをすると口の中がリセットされて気持ちよかったです!
妊娠中のホルモンのバランスの関係で歯肉に炎症が起きやすくなる妊娠性歯肉炎も少しありましたが、
矯正器具の細かいところを丁寧に磨いていくことで落ち着きました。
矯正も歯磨きができるできないも個人差があることを改めて知りました。
ということで、これから少しの期間はマタニティー矯正者として情報をお伝えしようと思います!
個人差はありますがぜひ参考にしてみてください!







