セパレート再び!
福山 医療法人幸美会 なかむら歯科クリニック 歯科衛生士 吉田 すみれ
みなさん、こんにちは!歯科衛生士の吉田です
先月とは比較にならないほど寒くなってきましたね\(◎o◎)/!
起きる時が億劫でしかたありません・・・!ずっと布団の中にいたいですが、
ぐっと堪えてお仕事へ!自転車で向かうので風が冷たくてかないません・・・
みなさんも、寒さに負けず、体調を壊さないようにお過ごしくださいね
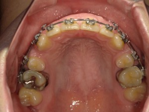
11月30日と今回は月の最終日にありました矯正日!
今回はオープンコイルという器具を付ける予定だったみたいですが、装着がだいぶ難しいようで、
着けられてはいないようです。
またインプラントアンカーについても、やはりゴムがかけられないのは、
歯の移動としてはあまりよろしくはない(つけなくても移動はできるけど、進行ペースが遅くなる)ようです・・・。
そして、先生から新しい指示が!上顎の7番(一番奥の歯)にバンドを着けるからセパレートしておいてね、と言われました!
おそらく上が終わったら次は下顎にセパレートなのかなと、最初の時を思い出します
バンド装着したら次は何をするのか少しわくわくします!
あまり顕著な変化は見られませんね
じゃっかん下顎の隙間が狭くなったくらいでしょうか
福山 医療法人幸美会 なかむら歯科クリニック 歯科衛生士 吉田 すみれ




今回の写真
前回の写真
