ワイヤーループ締めなおしました!
医療法人幸美会 なかむら歯科クリニック 歯科衛生士 吉田 すみれ
みなさん こんにちは!歯科衛生士の吉田です!
師走というようにアッという間に時が過ぎ、気づけばもう年末\(◎o◎)/!です
年末に向けてお餅をついたり御節を準備するご家庭もありますね
家はお餅は機械でつきますが、御節は全く準備しないですね
なので作っている方を見ると凄いな・・・と尊敬してしまいます(^^)
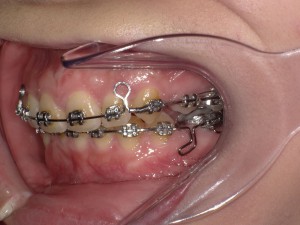
今月の矯正日は少し早目の20日にありました
前回セパレートを入れるように指示されていたのでばっちり準備して臨みました!
上顎の最後臼歯にバンドが入りました(^o^)
バンドを入れたときに下顎にセパレートの指示はなかったのでバンドはこれで最後なのかな?
毎回毎回思っていたことなのですが、やっぱり私の歯の移動が予定よりだいぶ遅い様子です・・・
原因はインプラントアンカーですが、もうそこには触れない方針?にしていくようです
今回はバンドセットとワイヤーのループを締めなおしていきました
アンカーが使えない以上ループをきつくして歯の移動を促していくみたいです
とても、痛かったです・・・
大の大人が泣いてしまいました 笑
きつく締めていきますねと前もって伝えてくれたのですが、本当に今まで以上に強めの力でした(>_<)
医療法人幸美会 なかむら歯科クリニック 歯科衛生士 吉田 すみれ






