動いてきました!!
福山 医療法人幸美会 なかむら歯科クリニック 歯科衛生士 吉田 すみれ
みなさん こんにちは歯科衛生士の吉田です!
寒さがつづきいたるところでインフルエンザが猛威を振るっていますが、体調のほうは大丈夫でしょうか?
すこしでも体調の変化を感じたら病院にいって診察していただきましょう!
我が家でもインフルに罹ったものが一名出てしまいました・・・(>_<)
手洗いうがいを欠かさず行っていてももらったりするものは、マスクをしていても完全には防げないですからね・・・
でも、基本は手洗いうがいなので、家に帰ったらまずはするようにしています!
さて、先月の矯正日に行ってまいりました
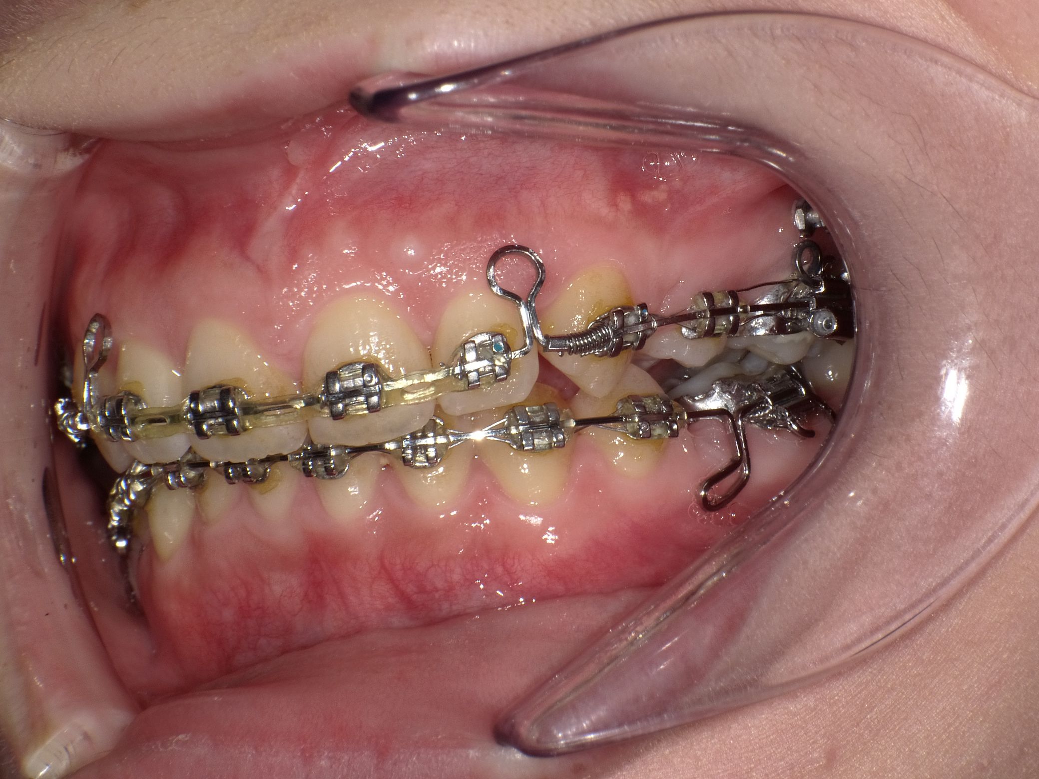
今回は上顎の前歯にゴムをかけてもらいました!
わかりづらいですが、上顎前歯四本にゴムを着けています
前歯が動いて隙間ができないように、ゴムで牽引してくれているのだと思います
実際つけてから前歯の間が以前ほど広がっていないように感じます。
抜歯したところもだいぶ隙間が無くなってきました!歯磨きをするときに特に狭まってきたことを実感しますね
側面が前より磨きにくくなったかな?と、あともう少し狭まったらフロス通したほうがいいかもしれないなと思っています
下顎もちょっとですが動いてますね!停滞期を徐々に脱してきているのかなー?と感じますが、ぬか喜びではないことを祈ります!
福山 医療法人幸美会 なかむら歯科クリニック 歯科衛生士 吉田 すみれ








