少しの変化(片)
お久しぶりです!片山です。
矯正治療にも慣れてきて、麺類を食べるのにも慣れてきました。
歯磨きも頑張っているつもりだったのですが、下の3番目の歯の歯肉のキワに少し歯石がついていると指摘を受けました。
ブラケットがある部分で磨く範囲がとても狭くて歯ブラシがあたりづらいところだったので念入りに磨かなければ!と改めて思いました。
体調も落ち着いておいしいものをたくさん食べるようになったので、これからはさらに気を付けていきます!!
細かいところを磨くのにお気に入りのヘッドが小さくて少し硬めの歯ブラシがあるのでそれを使って磨こうと思います。
歯ブラシは種類がたくさんあってどれがいいのか迷うと思いますが、困ったらスタッフに聞いてみてください!
同じような歯並びでも磨く力の強さや口の開き具合などによって合うものが違うので、直接口の中を見ているスタッフが一人ひとりに合ったものをおススメしてくれますよ!
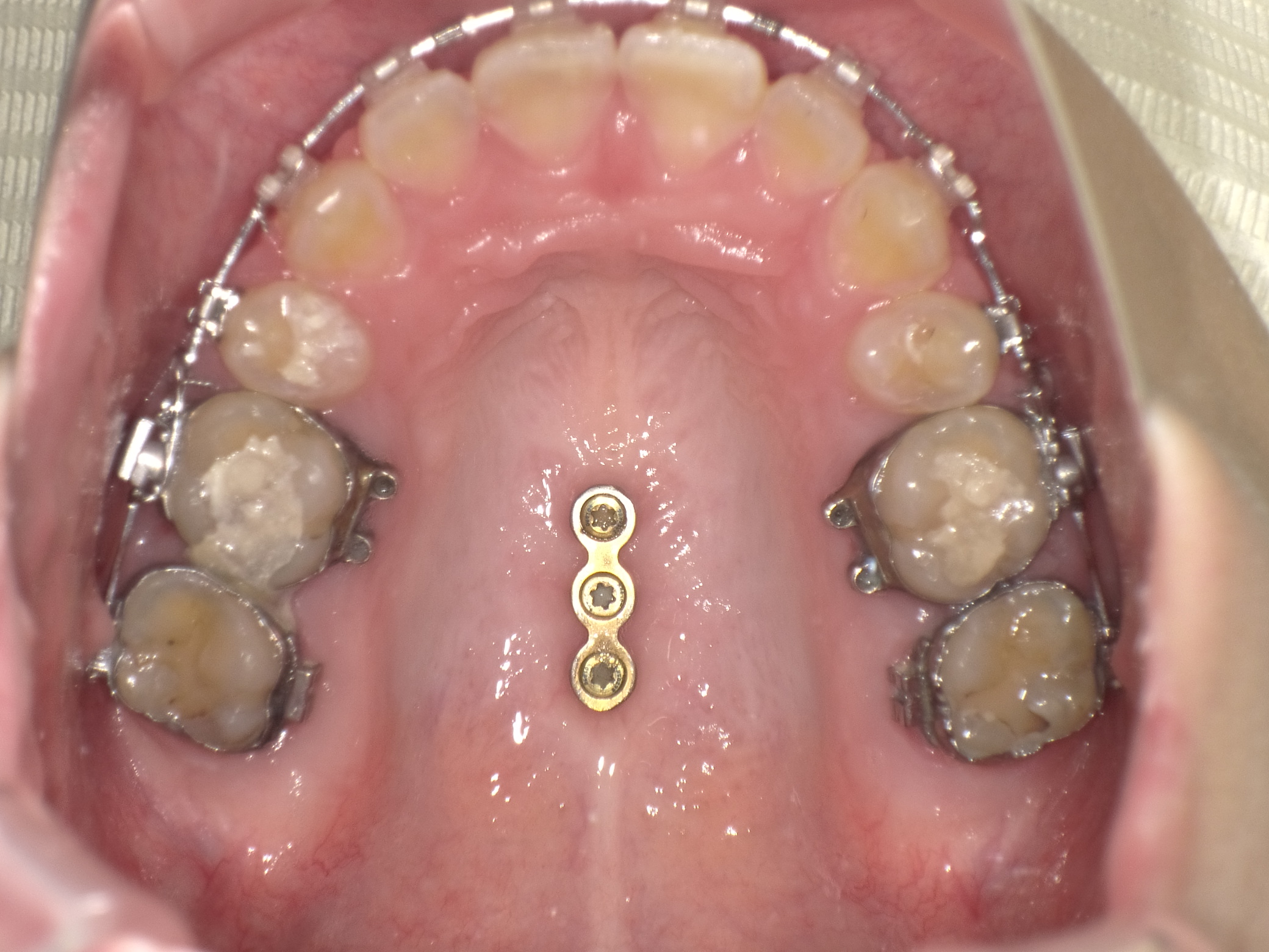
今日の写真です。
歯を抜いた隙間は完璧に埋まりました。
歯の位置を固定するためにゴムをつけるのですが、その位置が少し変わったりするぐらいで大きな変化はわかりづらいですが、着々とゴールに近づいているなとわくわくします。
最終的に上顎についているインプラントアンカーを外すのですが、ドリルでグリグリしたのを覚えているので外す瞬間が少し怖いなーと今から不安になってます(笑)
あとは抜いた穴がどれぐらいで塞がるのかも見どころですね!!(笑)
また変化があればお伝えしようとおもいます!!







